Office Visits | Financial Information | Testimonials | Office Tour | Before and After | Patient Forms | Office News
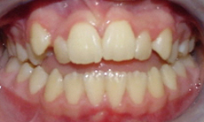
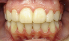
Incredible results and inspiring journeys; see some of our patients' before and after photos!